Neuropatía de fibra fina

Qué es | Pruebas

Qué es la neuropatía de fibra fina

Cuando hablamos de neuropatía de fibra fina – NFF (SFN por small fiber neuropathy en inglés) nos referimos a enfermedades que afectan a los nervios más finos de nuestro cuerpo.

Los nervios más gruesos están recubiertos de una capa “aislante” llamada mielina que hace que la conducción sea muy rápida. Son los responsables por ejemplo de los movimientos y de algunas sensaciones como el tacto.

Tenemos otro tipo de fibras de menor calibre (más finas) que no tienen mielina o tienen una capa muy fina y que llamamos fibras finas. Estos nervios son los encargados entre otras cosas de las sensaciones de temperatura, dolor y son también las fibras del sistema nervioso autónomo. Las sensaciones viajan por los distintos tipos de nervios a través de la médula espinal hasta diferentes zonas del cerebro que son las encargadas de “procesar y traducir” estas señales, haciendo que de manera consciente podamos notar que algo está frío, caliente o que nos ha hecho daño y de manera inconsciente se encarga de mantener nuestra presión, frecuencia cardiaca, movimiento intestinal etc.

Diagnóstico de NFF

Las fibras finas no son accesibles a estudios convencionales como si lo son otro tipo de nervios más gruesos, para los que realizamos un electromiograma (impulsos eléctricos a través de la piel, con o sin registro de agujas en los músculos según la sospecha).

Para el diagnóstico de una neuropatía de fibra fina térmica o dolorosa no hay un consenso establecido, es decir, los profesionales no se han puesto de acuerdo.

En todos los casos se parte de una historia clínica y una exploración física que sean “sospechosas” de una afectación de este tipo de fibras. Por ejemplo puede haber síntomas de calor, de dolor etc en algunas partes del cuerpo.

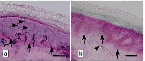
Una vez que hay una sospecha clínica, hay pruebas que se pueden solicitar para apoyar el diagnóstico. La prueba más fiable, aunque está poco accesible en nuestro país, es la biopsia de piel de la zona relacionada con la clínica y su procesamiento en laboratorios especiales que pueden contar cuántas fibras sin mielina hay.

Hay otras pruebas de apoyo diagnóstico, como son test psicofísicos de detección de cambios de temperatura (donde el paciente marca a qué temperatura su cerebro interpreta que ha empezado el calor o el frío), potenciales evocados por contacto térmico (donde se busca registrar la respuesta cerebral al estímulo de temperatura), el SUDOSCAN (donde se estimula la sudoración con corrientes de baja intensidad) y la microscopía confocal (se estudia el número de fibras que llegan a la córnea del ojo).

Habitualmente si no hay una biopsia disponible se requieren 2 pruebas alteradas junto con una exploración física y síntomas compatibles.

Si se confirma la presencia de una neuropatía de fibra fina con estos criterios, el siguiente paso es buscar el origen de la misma. Para esto solemos pedir distintas analíticas que dependen de cada paciente .

Foto de v2osk en Unsplash

NFF con fallo autónomo

Para el diagnóstico de una neuropatía de fibra fina que curse con fallo autónomo en la mayoría de centros especializados se realiza una serie de baterías de pruebas que miden los reflejos del sistema nervioso autónomo cardiovascular.

Con una monitorización especial que registra los cambios en la presión arterial con cada latido del corazón se pide al paciente que haga distintas maniobras para subir o bajar la presión y los latidos del corazón.

A diferencia de la neuropatía de fibra fina térmica o dolorosa sí hay criterios establecidos para el diagnóstico de fallo autónomo según consensos internacionales. Se puede estudiar  también la respuesta automática de la sudoración a diferentes estímulos (de manera cuantitativa con QSART, muy poco disponible y de manera más indirecta con el estudio de la respuesta simpática cutánea).  

De nuevo una vez confirmada la presencia de fallo autónomo se realizarán otras pruebas para ampliar el estudio y poder saber si el fallo proviene de los nervios finos, de los centros cerebrales, si hay una enfermedad hereditaria, autoinmune o neurológica que lo esté produciendo etc.

En muchas ocasiones las pruebas que hemos descrito para el estudio de la neuropatía de fibra fina son normales. En ese caso no podemos llegar a un diagnóstico firme,  tan sólo hemos podido descartar que los síntomas que presenta el paciente están relacionados con un daño en el tipo de fibras que somos capaces de estudiar en ese momento.

Las pruebas que hemos descrito pueden tener resultados alterados si estamos tomando alguna medicación en concreto (por favor, comentad siempre con vuestro equipo médico toda la medicación y suplementos que toméis) , según el procesamiento, la experiencia del laboratorio, etc.

Patrón distal y proximal

La neuropatía de fibra fina no siempre sigue el patrón típico dependiente de la distancia o distal (LD-SFN por sus siglas en inglés Lenght-Dependent – Small Fiber Neuropathy), que empieza en los pies y asciende; en algunas personas puede aparecer de forma irregular, asimétrica, afectar más a brazos que a piernas o ser más generalizada. Es el patrón no dependiente de la distancia o proximal, en inglés, NLD-SFN por non-length-dependent.

Esta forma es más difícil de diagnosticar porque sus síntomas pueden ser variados y no encajan en los criterios clásicos. En muchos casos se asocia a enfermedades del sistema inmunitario u otras enfermedades generales, aunque aproximadamente la mitad de las veces no se encuentra una causa clara.

El tratamiento suele centrarse en aliviar el dolor neuropático. Cuando se identifica una causa concreta, tratar esa enfermedad de base (y en algunos casos usar tratamientos inmunológicos) puede ayudar a mejorar la evolución.

Es importante reconocer si el patrón es distal (empieza en pies) o no dependiente de la longitud / proximal.

Cuando se sospecha un patrón proximal o atípico, en la biopsia de piel no debe tomarse muestra únicamente del tobillo, sino también de otra zona del cuerpo (por ejemplo, muslo u otra área sintomática).

Esto permite comparar distintas localizaciones y aumenta la probabilidad de detectar la afectación cuando no sigue el patrón clásico ascendente.

La  neuropatía de fibras finas con patrón no dependiente de la distancia o proximal, (NLD-SFSN) es más común en mujeres, se presenta a una edad más temprana y es más probable que esté asociada con afecciones inmunomediadas que la neuropatía de fibra fina dependiente de la distancia (LD-SFSN).

Testimonio: Ana y la neuropatía que condiciona su vida.

Ana es una joven estudiante de Farmacia cuya vida cambió drásticamente al ser diagnosticada con una enfermedad autoinmune que le provocó una grave neuropatía. A pesar de los duros desafíos físicos y las limitaciones en sus estudios, Ana se ha convertido en un ejemplo de superación y lucha, utilizando su experiencia para ayudar a otras y otros pacientes y promover la importancia de la donación de plasma para los tratamientos de inmunoglobulina.

Puedes leer más sobre su historia en nuestro blog de noticias en este enlace. 

También puedes ver o escuchar su entrevista en el Podcast «Sonrisas que curan en los enlaces de abajo.

[Hacer nuestra versión]

Tipos de NFF

La neuropatía de fibras finas/ pequeñas no siempre se manifiesta de la misma forma. Existen distintos tipos, según el patrón de afectación, los nervios comprometidos y la causa subyacente. Conocerlos facilita el diagnóstico y tratamiento adecuado.

1. Según el patrón de afectación nerviosa

  • Dependiente de la longitud/distancia (NFPDL Lenght-dependent Small Fiber Neuropathy en inglés) o Neuropatía distal de fibras finas):

    Los síntomas suelen iniciar en los pies y avanzar hacia las piernas y las manos, con distribución típica en “calcetín” o “guante”.

    Es la forma más común y suele asociarse a la diabetes, alteraciones del metabolismo de la glucosa o ¿exposición a neurotóxicos. ¿farmacológica? (como el Metotrexato)

  • No dependiente de la longitud/distancia (NFPDL-N Non-lenght-dependent Small Fiber Neuropathy en inglés) o Neuropatía proximal de fibras finas:

    Los síntomas son más irregulares, asimétricos o difusos, pudiendo afectar el tronco, la cara o las extremidades superiores.

    Se relaciona con enfermedades autoinmunes como el síndrome de Sjögren, la sarcoidosis o síndromes paraneoplásicos.

2. Según el tipo de nervios afectados

  • Sensorial : produce dolor, ardor, hormigueo, entumecimiento o alteraciones en la percepción del calor y el frío.
  • Sensorial + autonómica: además de los síntomas sensoriales, se suman manifestaciones de disfunción autonómica, como sequedad ocular o bucal, trastornos digestivos, urinarios o cardiovasculares.

3. Según la causa subyacente

  • Metabólicas: como la diabetes mellitus o el síndrome metabólico.
  • Autoinmunes: síndrome de Sjögren, lupus, sarcoidosis.
  • Infecciosas: VIH, hepatitis C.
  • Tóxicas: alcohol, ciertos fármacos (ej. quimioterapia, antibióticos).
  • Hereditarias: enfermedad de Fabry, mutaciones en genes de canales de sodio (SCN9A, SCN10A, SCN11A).

La NFF No Dependiente de la Longitud es más prevalente en mujeres

La neuropatía de fibras finas (NFF) generalmente se presenta en un patrón dependiente de la longitud/distancia (LD lenght dependent en inglés), es decir, los síntomas comienzan en pies y manos y progresan hacia arriba. Este es el patrón “clásico” distal de muchas neuropatías periféricas.

Sin embargo, en hasta el 25% de los casos se observa un patrón no simétrico no dependiente de la longitud (NLD non lenght dependent) o proximal, lo que puede llevar a confusiones diagnósticas:

  • Los síntomas no siguen la secuencia distal →  siguen la proximal.
  • Pueden aparecer en tronco, cara, torso, brazos o piernas sin respetar la distancia desde los pies, más irregular.

Relación con el sexo

  • Estudios muestran que las mujeres tienen mayor probabilidad de presentar NFF con patrón NLD en comparación con los hombres.
  • Es importante incluir en los diseños de estudios de NFF este fenotipo NLD de neuropatía de fibra fina proximal, no dependiente de la distancia, para encontrar tanto posibles causas subyacentes como posibles tratamientos.
  • Las pacientes con NLD-SFN son especialmente refractarias a los tratamientos, requiriendo con mayor frecuencia polifarmacia y opioides.
  • El patrón NLD en mujeres puede ser un indicador temprano de neuropatía de fibras finas asociada a enfermedades autoinmunes (como Sjögren o lupus) o disautonomías.
  • En cambio el patrón distal LD clásico es más común en diabetes u otras neuropatías metabólicas.
  • Por lo tanto, cuando una mujer presenta dolor, ardor o alteraciones sensitivas en áreas no clásicas, los médicos pueden sospechar NFF con patrón NLD.

Importancia clínica:

  • Reconocer este patrón es relevante a la hora de realizar pruebas específicas como la biopsia de piel y elegir el lugar del cuerpo donde coger la muestra para evitar resultados con falsos negativos, así como a realizar pruebas autonómicas, y  buscar causas subyacentes tratables y otros fármacos.
  • El predominio femenino en la NFS-NLD puede influir en el cribado de trastornos autoinmunes asociados y de canalopatías genéticas, que se notifican con mayor frecuencia en mujeres. 
  • El fenotipo NLD-SFN (no dependiente de la distancia) es más prevalente en mujeres y suele confundirse con trastornos psicógenos por su presentación atípica, retrasando el inicio del tratamiento adecuado.

[Buscar si se puede usar esta imagen de un Paper]

 

Síntomas

La neuropatía de fibras finas se caracteriza principalmente por dolor neuropático, alteración de la sensibilidad, (térmica sobre todo), y pueden darse manifestaciones de disautonomía.

Los síntomas de la NFF dependiente de la distancia suelen empezar en pies y manos y, con el tiempo, pueden avanzar hacia arriba y extenderse hacia otras zonas del cuerpo como la cara, punta de nariz, el tronco o la región íntima (perineal).

Aun así, pueden presentarse procesos no dependientes de la longitud, y pueden ser más difíciles de reconocer y diagnosticar.

Se dividen en fases:

  • Fase inicial:
    • Dolor quemante o ardor, a veces punzante o eléctrico (“sensación de agujas”), más intenso en pies y manos, especialmente en reposo o durante la noche, afectando el sueño y la calidad de vida.
    •  
  • Fase avanzada:
    • pérdida progresiva de sensibilidad (síntomas negativos) con entumecimiento. A veces los pacientes describen la paradoja de “adormecimiento doloroso”, cuando conviven pérdida de sensibilidad y dolor.

Relación con el sistema nervioso autónomo

Las fibras finas también participan en las funciones automáticas (autonómicas) del cuerpo. Por eso, la NFF puede causar síntomas como:

  • Sudoración excesiva o reducida.
  • Mareos al ponerse de pie (hipotensión ortostática).
  • Cambios en la presión arterial o frecuencia cardíaca
  • Intolerancia al calor.
  • Problemas digestivos o urinarios.

Cuando están presentes, hablamos de neuropatía autonómica de fibras finas.

Estos síntomas pueden variar a lo largo del día.

En casos de eritromelalgia, un tipo específico de NFF:

  • El ardor puede intensificarse con el calor
  • Puede ir acompañado de enrojecimiento de la piel, generalmente en manos y pies

Se ha sugerido que el síndrome de boca ardiente, caracterizado por una sensación dolorosa crónica en la zona oral, está relacionado con la NFF del trigémino.

Prurito de origen neuropático en NFF no dependiente de la distancia. (NLD-SFN)
[Buscar paper Neurosjögren Pau]

El síndrome de piel sensible en pacientes con NFF consiste en sensaciones cutáneas leves, transitorias y desagradables, sin causa dermatológica aparente y resistente a antihistamínicos.

El prurito neuropático refleja un síntoma de disfunción nerviosa más que un trastorno primario de la piel, puede deberse a múltiples condiciones sistémicas, autoinmunes, metabólicas, infecciosas, malignas o neurodegenerativas, y podría ser el primer síntoma en la NFF.

Suele presentar una distribución no dependiente de la longitud y muestra correlación con la pérdida de fibras proximales en la piel.

 

[Buscar si se puede incluir esta imagen de Paper]

Enfermedades relacionadas con la NFF

La neuropatía de fibras finas puede presentarse en diversas condiciones, entre las más frecuentes:

  • Diabetes mellitus, prediabetes, y otras enfermedades metabólicas
  • Enfermedades autoinmunes como Lupus o enfermedad de Sjögren, artritis reumatoide (AR)
  • Celiaquía
  • Sarcoidosis
  • Enfermedades paraneoplásicas
  • Déficits vitamínicos especialmente de vitamina B12.
  • Disfunción tiroidea
  • Gammapatía monoclonal
  • Infecciones
  • Infecciones por VIH y hepatitis C
  • Síndrome post-COVID
  • Canalopatía del sodio
  • Amiloidosis
  • Enfermedad de Fabry
  • Enfermedades autoinflamatorias
  • Enfermedad de Lyme
  • Síndrome de Ehlers-Danlos (SED/EDS)
  • Fibromialgia
  • Síndrome de taquicardia postural ortostática (PoTS)
  • Enfermedades neurológicas
  • Trastornos hereditarios o genéticos
  • Abuso de alcohol
  • Efectos secundarios de fármacos ¿neurotóxicos?
  • Idiopática: cuando no se encuentra una causa identificable (50% de los casos)

Diagnóstico diferencial:

Es importante diferenciar la neuropatía de fibras pequeñas (NFF) de la neuropatía de fibras grandes/gruesas.

Las neuropatías hereditarias constituyen una causa importante de neuropatía periférica

Condiciones en estudio por su co-ocurrencia con la NFF

Síndrome post-COVID y NFF

  • Hasta un 50 % de los pacientes con Long COVID doloroso pueden tener signos de NFF.
  • El COVID-19 puede agravar una neuropatía previa o incluso provocar una nueva.
  • Los síntomas suelen aparecer semanas o meses después de la infección y se manifiestan como dolor, ardor, entumecimiento o disautonomía.

Fibromialgia y NFF

  • Entre el 40% y el 50 % de las pacientes con fibromialgia presentan signos de NFF en pruebas como la biopsia de piel o la microscopía corneal confocal.
  • Las biopsias identificaron la denervación proximal (no dependiente de la distancia) como más prevalente.
  • Esto no significa que toda la fibromialgia sea causada por NFF, pero sí que existe un subgrupo de pacientes en los que el dolor podría explicarse, al menos en parte, por daño en estas fibras nerviosas.
  • Identificar esta relación puede ayudar a personalizar el tratamiento y a comprender mejor los síntomas.

EM/SFC y NFF

  • Aproximadamente un tercio de los pacientes con EM/SFC (Encefalomielitis Miálgica/Síndrome de Fatiga Crónica) tienen neuropatía de fibras finas (NFF) en la piel.

SEDh y NFF

  • Un estudio de 2022 encontró que 6 de cada 10 personas con SEDh tenían neuropatía de fibras finas (NFF).
  • 1 de cada 3 cumplía criterios de síndrome de taquicardia postural (PoTS).
  • Los pacientes con SEDh presentaban frecuencias cardíacas más altas que las personas sin esta condición.
  • Las pruebas de sensibilidad mostraron una menor percepción del tacto y la temperatura en todo el cuerpo.
  • Las biopsias de piel revelaron una reducción en la cantidad de fibras nerviosas finas, tanto en muslos como en piernas.

PoTS, IO y NFF

  • Cada vez hay más evidencia que implica a la neuropatía de fibras pequeñas (SFN) en aproximadamente el 38 % de las pacientes con PoTS.
  • La distribución de la NFF puede ser irregular/dispersa.
  • En futuros estudios sobre PoTS y NFF, podría ser útil investigar biopsias cutáneas distales y proximales.
  • En un estudio con niños, adolescentes y adultos jóvenes, en su mayoría mujeres, de origen caucásico, que presentaban intolerancia ortostática (IO) o síndrome de taquicardia postural  (PoTS), la biopsia de piel mostró signos de neuropatía de fibras finas en el 53% de los pacientes.
  • Su percepción de la salud estaba moderadamente reducida.
  • Aquellas personas con IO/PoTS y NFF tenían tres veces más probabilidades de presentar anticuerpos en sangre (ANA o antitiroideos), lo que sugiere un posible proceso autoinmune o inflamatorio

Quistes de Tarlov y NFF

  • Un estudio de 2025 reveló una alta prevalencia de NFF en pacientes con Quistes de Tarlov (72-80%).
  • Además, se reportan comúnmente síntomas aparentemente no relacionados y disfunciones autonómicas. Estos síntomas pueden estar asociados con un aumento de la PLCF (aumento de la presión del líquido cefalorraquídeo) en la vaina de la raíz nerviosa.

Sjögren y NFF

  • En el síndrome de Sjögren, la neuropatía periférica dolorosa puede deberse a mecanismos inmunomediados (infiltración linfocítica, vasculitis, anticuerpos) y es importante identificar si es pura o mixta, con afectación concurrente de fibras gruesas, ya que el enfoque terapéutico y el pronóstico pueden variar.

Lupus y NFF

  • La neuropatía periférica por daño en fibras finas en LES es más común de lo que se pensaba.

  • En LES el daño en fibras pequeñas puede ser proximal, distal o irregular, lo que refleja un mecanismo inmunomediado más que degenerativo.
  • Suele ser no dependiente de la longitud.

  • Debería ser considerada como una fuente importante de dolor neuropático y deterioro funcional.

  • Un tercio de pacientes pueden presentar NFF pura, un menor número la presentan mixta (fibras finas + gruesas).
  • La biopsia cutánea muestra reducción de la densidad de fibras intraepidérmicas (IENFD) tanto proximal como distal.
  • Pese a la elevada frecuencia de síntomas dolorosos, la afectación autonómica y sensorial no siempre se correlaciona claramente con la presencia de NFF en los estudios.

[Buscar info acerca de la posibilidad de añadir imagenes de denervación nerviosa de Papers que sean CC]

Diagnóstico

El diagnóstico de la neuropatía de fibras finas (NFF) carece de una prueba definitiva. La biopsia de piel es el método de referencia, pero no es completamente sensible, por lo que se han desarrollado criterios que combinan clínica, exploración y pruebas complementarias para establecer distintos grados de certeza diagnóstica:

  • Historia clínica y examen neurológico: revisión de la sensibilidad al pinchazo, calor o frío.
  • Pruebas especializadas:
    • Biopsia de piel: permite contar las fibras nerviosas. [¿Añadir que esta prueba en nuestro país ni fú ni fá? No se sigue el protocolo europeo, y parece haber problemas tanto al coger muestra como al analizarla]
    • Pruebas sensoriales cuantitativas (QST, quantitative sensory testing en inglés, prueba sudomotora cuantitativa) determinan umbrales de percepción al calor, frío y estímulos dolorosos.
    • Potenciales evocados térmicos (CHEP) o láser (LEP): miden la respuesta del cuerpo al calor y las vias nociceptivas.
  •  
    • Pruebas autonómicas para valorar la función sudomotora, como
      • SUDOSCAN o el QSART (quantitative sudomotor axon reflex test en inglés, o prueba cuantitativa del reflejo axónico sudomotor) para medir la sudoración mediante estímulos electricos o acetilcolina,
      • el TST thermoregulatory sweat test en inglés, o Prueba Termorreguladora del Sudor, para medir la respuesta del sudor al calor.
    • Microscopía corneal confocal
    • Microneurografía

    • NCS Estudio de conducción nerviosa con resultado normal (para descartar neuropatía de fibras gruesas).

Sin biopsia, se suelen requerir dos pruebas alteradas + síntomas + examen físico para confirmar la sospecha.

A diferencia de los nervios gruesos, responsables del movimiento y el tacto, las fibras finas no se ven en estudios convencionales como el electromiograma (EMG).

(En casos con fallo autónomo, se usan baterías de pruebas cardiovasculares y de sudoración para evaluar la función de las fibras autonómicas)

Las fibras C participan en el sistema nervioso autónomo. Por eso, una NFF puede manifestarse también con alteraciones autonómicas (sudoración, mareos, intolerancia al calor, síntomas digestivos, etc.). Detectar estas alteraciones permite orientar el diagnóstico hacia una neuropatía autonómica de fibras finas.

Para ello se usan baterías de pruebas cardiovasculares, como:

  • prueba de inclinación con mesa basculante (HUTT o Head Up Tilt Table Test en inglés)) (neurológica)
  • Maniobra de Valsalva

Diagnóstico diferencial

La NFF puede ser difícil de identificar porque sus síntomas se superponen con otras afecciones. El diagnóstico diferencial consiste en distinguirla de condiciones que provocan síntomas similares, como otros tipos de neuropatías de fibras grandes/gruesas, síndromes de dolor crónico ¿o incluso factores emocionales.?

Importante sobre las pruebas de NFF

En muchos casos, las pruebas pueden salir normales, incluso si hay síntomas. Esto no descarta que tengas neuropatía de fibras finas, sino que los estudios actuales solo pueden evaluar ciertos tipos de fibras.

Algunos resultados también pueden verse afectados por medicamentos, suplementos o la forma en que se procesa la prueba, por lo que es fundamental informar siempre a tu equipo médico sobre todo lo que estés tomando.

Por ejemplo, el QSART es muy sensible a los antihistamínicos y antidepresivos, que afectan la sudoración, estos medicamentos ¿usualmente? deben suspenderse 48 horas antes del estudio. Consulta con tu médico.

Tratamiento

No existe un tratamiento curativo específico para la NFF,  pero el enfoque incluye dos aspectos: tratar la causa de fondo (si se encuentra) y aliviar los síntomas, a través de medicamentos para aliviar el dolor neuropático, terapias físicas y cambios en el estilo de vida:

  1. Control de la enfermedad de base (cuando es posible).
  2. En >50 % no se encuentra etiología o el tratamiento causal no mejora síntomas.
  3. Cuidados de estilo de vida y apoyo multidisciplinar.
  4. Tratamiento específico para el dolor neuropático:
    • Antidepresivos (ej. duloxetina, amitriptilina).
    • Antiepilépticos (ej. gabapentina, pregabalina).
    • Analgesia tópica: cremas con lidocaína o capsaicina.
  5. Eficacia limitada: <50 % alcanzan una reducción ≥50 % del dolor.
  6. Las pacientes con NFF no dependiente de la distancia (NLD-SFN) son especialmente refractarias a los tratamientos, requiriendo con mayor frecuencia polifarmacia y opioides.
  7. Tratamientos en investigación:
    1. terapias dirigidas a canales de sodio (ej. lacosamida)
    2. en algunos casos de NFF asociada a disfunción autoinmune, se han probado terapias inmunomoduladoras, como la inmunoglobulina intravenosa (IVIG), aunque aún no son estándar.

Estilo de vida y autocuidado

  • Ejercicio adaptado y regular: mejora la circulación y la función nerviosa.
  • Cuidados de pies y manos: evitar lesiones, revisar la piel diariamente, usar calzado cómodo.
  • Higiene del sueño: rutinas que faciliten descansar mejor.
  • Nutrición equilibrada: apoyo en la salud del sistema nervioso.

Apoyo adicional

  • Rehabilitación física y ocupacional: para mejorar movilidad y funcionalidad, adaptación a síntomas.
  • Apoyo psicológico: útil en dolor crónico y ansiedad asociada.

¿Terapias de estimulación nerviosa? [buscar info en papers sobre esto]

  • TENS (estimulación eléctrica transcutánea) para aliviar dolor neuropático
  • Terapia de calor o frío localizada según tolerancia

Detectar la NFF a tiempo permite identificar causas tratables y controlar mejor los síntomas.

La NFF se caracteriza por dolor quemante, pinchazos, pérdida de sensibilidad y, en algunos casos, problemas autonómicos que afectan la calidad de vida.

Bibliografía

  • Gemignani F, Bellanova MF, Saccani E, Pavesi G. Non-length-dependent small fiber neuropathy: Not a matter of stockings and gloves. Muscle Nerve. 2022 Jan;65(1):10-28. doi: 10.1002/mus.27379. Epub 2021 Aug 9. PMID: 34374103. https://pubmed.ncbi.nlm.nih.gov/34374103/
  • ZHOU, L., & KHAN, S. (2012). CHARACTERIZATION OF NON–LENGTH-DEPENDENT SMALL-FIBER SENSORY NEUROPATHY. Muscle & Nerve, 45(1), 86–91. https://doi.org/10.1002/mus.22255
  • Muriel Laffon Emilien Delmont Haiel Alchaar Michel Lantéri Minet Pierre-Yves Jeandel Catherine Butori , and Claude Desnuelle. Is Non-Length-Dependant Small Fiber Sensory Neuropathy an Inflammatory Neuropathy? (P01.140)
  • Bitzi LM, Lehnick D, Wilder-Smith EP. Small fiber neuropathy: Swiss cohort characterization. Muscle Nerve. 2021 Sep;64(3):293-300. doi: 10.1002/mus.27340. Epub 2021 Jun 16. PMID: 34075618; PMCID: PMC8453953. https://pmc.ncbi.nlm.nih.gov/articles/PMC8453953/
  • Margot Geerts, Janneke G.J. Hoeijmakers, Carla M.L. Gorissen-Brouwers, Catharina G. Faber, Ingemar S.J. Merkies, Small Fiber Neuropathy: A Clinical and Practical Approach, The Journal for Nurse Practitioners, Volume 19, Issue 4, 2023, 104547, ISSN 1555-4155, https://doi.org/10.1016/j.nurpra.2023.104547.
    (https://www.sciencedirect.com/science/article/pii/S1555415523000107)
  • The clinical approach to small fibre neuropathy and painful channelopathy. Themistocleous AC, Ramirez JD, Serra J, et al. Pract Neurol 2014;14: 368–379. https://pn.bmj.com/content/14/6/368
  • Khoshnoodi MATruelove SBurakgazi AHoke AMammen ALPolydefkis M. Longitudinal Assessment of Small Fiber NeuropathyEvidence of a Non–Length-Dependent Distal AxonopathyJAMA Neurol. 2016;73(6):684–690. doi:10.1001/jamaneurol.2016.0057 https://jamanetwork.com/journals/jamaneurology/fullarticle/2511289
  • Narasimhaiah, Deepti; Mahadevan, Anita1,. Role of skin punch biopsy in diagnosis of small fiber neuropathy-A review for the neuropathologist. Indian Journal of Pathology and Microbiology 65(Suppl 1):p S329-S336, May 2022. | DOI: 10.4103/ijpm.ijpm_92_22. https://journals.lww.com/ijpm/fulltext/2022/65001/role_of_skin_punch_biopsy_in_diagnosis_of_small.39.aspx 
  • Gómez Esteban, Juan Carlos; Tijero Merino, Beatriz; 2020. «Trastornos del sistema nervioso autónomo»; Barcelona. Editorial Anejo Health Communications. ISBN 978-987-4090-40-9
  • Kelly Freeman, MSM; David S. Goldstein, MD, Phd; Charles R Thompson, MD. 2015. “The Dysautonomia Project: Understanding Autonomic Nervous System Disorders for Patients”. Publisher: Bardolf & Company. ISBN: 9781938842245
  • Furia, Alessandro, Rocco Liguori, and Vincenzo Donadio. 2025. «Small-Fiber Neuropathy: An Etiology-Oriented Review»
  • Cascio MA, Mukhdomi T. Small Fiber Neuropathy. [Updated 2022 Dec 12]. In: StatPearls [Internet]. Treasure Island (FL): StatPearls Publishing; 2025 Jan-. Available from:
  • Teresa Sevilla, Lucía Galán Dávila,”Neuropatías de fibra pequeña”, Medicina Clínica, Volume 165, Issue 3, 2025, 106950, ISSN 0025-7753,
  • Margot Geerts, Janneke G.J. Hoeijmakers, Carla M.L. Gorissen-Brouwers, Catharina G. Faber, Ingemar S.J. Merkies, “Small Fiber Neuropathy: A Clinical and Practical Approach”, The Journal for Nurse Practitioners, Volume 19, Issue 4, 2023, 104547, ISSN 1555-4155,
  • Levine TD. Small Fiber Neuropathy: Disease Classification Beyond Pain and Burning. J Cent Nerv Syst Dis. 2018 Apr 18;10:1179573518771703. doi:
  • Ballano Ruiz, B. Aldea Manrique, A. Diago Irache, Y. Gilaberte Calzada.  (octubre 2023) “Eritromelalgia primaria: a propósito de un caso”. Actas Dermosifiliográficas. Vol. 114. Núm. 9. Páginas 837-838
  • Heij, Lara & Dahan, Albert & Hoitsma, Elske. (2012). «Sarcoidosis and Pain Caused by Small-Fiber Neuropathy.» Pain research and treatment. 2012. 256024. DOI:
  • Nolano, Maria & Tozza, Stefano & Caporaso, Giuseppe & Provitera, Vincenzo. (2020). Contribution of Skin Biopsy in Peripheral Neuropathies. Brain Sciences. 10. 989. DOI:
  • Kouri M, Adamo D, Vardas E, Georgaki M, Canfora F, Mignogna MD, Nikitakis N. «Small Fiber Neuropathy in Burning Mouth Syndrome: A Systematic Review». Int J Mol Sci. 2024 Oct 24;25(21):11442. doi:
  • Goldenberg D. Small Fiber Neuropathy: Clinical Scenarios and Differential Diagnoses. Pract Pain Manag. 2021;21(6).
  • Diagnosing and managing painful small fibre neuropathy By Dr Dominic A Hegarty, Consultant in Pain Management and Neuromodulation, Mater Private Hospital, Cork, and Clinical Director, Pain Relief Ireland – 03rd Mar 2021.
  • https://www.medicalindependent.ie/societies/iicn-ina/diagnosing-and-managing-painful-small-fibre-neuropathy/
  • Pál E, Fülöp K, Tóth P, Deli G, Pfund Z, Janszky J, Komoly S. Small Fiber Neuropathy: Clinicopathological Correlations. Behav Neurol. 2020 Jan 2;2020:8796519. doi:
  • Johnson SA, Shouman K, Shelly S, Sandroni P, Berini SE, Dyck PJB, Hoffman EM, Mandrekar J, Niu Z, Lamb CJ, Low PA, Singer W, Mauermann ML, Mills J, Dubey D, Staff NP, Klein CJ. Small Fiber Neuropathy Incidence, Prevalence, Longitudinal Impairments, and Disability. Neurology. 2021 Nov 30;97(22):e2236-e2247. doi:
  • Raasing LRM, Vogels OJM, Veltkamp M, van Swol CFP, Grutters JC. Current View of Diagnosing Small Fiber Neuropathy. J Neuromuscul Dis. 2021;8(2):185-207. doi:
  • Samuelsson K, Kostulas K, Vrethem M, Rolfs A, Press R. Idiopathic small fiber neuropathy: phenotype, etiologies, and the search for fabry disease. J Clin Neurol. 2014 Apr;10(2):108-18. doi:
  • Igharo D, Thiel JC, Rolke R, et al.Skin biopsy reveals generalized small fibre neuropathy inhypermobile Ehlers–Danlos syndromes. Eur J Neurol.2023;30:719-728.
  • Autonomic and sensory dysfunction in hypermobile Ehlers-Danlos syndrome: How do small fibers contribute? Kersebaum, Dilara et al. Autonomic Neuroscience: Basic and Clinical, Volume 260, 103306
  • Geerts, Margot & Hoeijmakers, Janneke & Gorissen-Brouwers, Carla & Faber, Catharina & Merkies, Ingemar. (2023). Small Fiber Neuropathy: A Clinical and Practical Approach. The Journal for Nurse Practitioners. 19. 104547. DOI:
  • Complex Regional Pain syndrome: a (focal) small fibre neuropathy possibly related to mutations in voltage-gated sodium channels
  • Gemignani F, Bellanova MF, Saccani E, Pavesi G. Non-length-dependent small fiber neuropathy: Not a matter of stockings and gloves. Muscle & Nerve. 2022; 65(1): 10-28.
  • X. Moisset, D. Bouhassira, J. Avez Couturier, H. Alchaar, S. Conradi, M.H. Delmotte, M. Lanteri-Minet, J.P. Lefaucheur, G. Mick, V. Piano, G. Pickering, E. Piquet, C. Regis, E. Salvat, N. Attal, Pharmacological and non-pharmacological treatments for neuropathic pain: Systematic review and French recommendations, Revue Neurologique, Volume 176, Issue 5, 2020, Pages 325-352, ISSN 0035-3787,
  • Hovaguimian A, Gibbons CH. Diagnosis and treatment of pain in small-fiber neuropathy. Curr Pain Headache Rep. 2011 Jun;15(3):193-200. doi:
  • Blaibel D, Fernandez CJ, Pappachan JM. Non-pharmacological interventions for diabetic peripheral neuropathy: Are we winning the battle? World J Diabetes. 2024 Apr 15;15(4):579-585. doi: 

Gómez Esteban, Juan Carlos; Tijero Merino, Beatriz; 2020. «Trastornos del sistema nervioso autónomo»; Barcelona. Editorial Anejo Health Communications. ISBN 978-987-4090-40-9

Kelly Freeman, MSM; David S. Goldstein, MD, Phd; Charles R Thompson, MD. 2015. “The Dysautonomia Project: Understanding Autonomic Nervous System Disorders for Patients”. Publisher: Bardolf & Company. ISBN: 9781938842245

Furia, Alessandro, Rocco Liguori, and Vincenzo Donadio. 2025. «Small-Fiber Neuropathy: An Etiology-Oriented Review» Brain Sciences 15, no. 2: 158. https://doi.org/10.3390/brainsci15020158

Cascio MA, Mukhdomi T. Small Fiber Neuropathy. [Updated 2022 Dec 12]. In: StatPearls [Internet]. Treasure Island (FL): StatPearls Publishing; 2025 Jan-. Available from: https://www.ncbi.nlm.nih.gov/sites/books/NBK582147/

Teresa Sevilla, Lucía Galán Dávila,”Neuropatías de fibra pequeña”, Medicina Clínica, Volume 165, Issue 3, 2025, 106950, ISSN 0025-7753, https://doi.org/10.1016/j.medcli.2025.106950

Margot Geerts, Janneke G.J. Hoeijmakers, Carla M.L. Gorissen-Brouwers, Catharina G. Faber, Ingemar S.J. Merkies, “Small Fiber Neuropathy: A Clinical and Practical Approach”, The Journal for Nurse Practitioners, Volume 19, Issue 4, 2023, 104547, ISSN 1555-4155, https://doi.org/10.1016/j.nurpra.2023.104547.

Levine TD. Small Fiber Neuropathy: Disease Classification Beyond Pain and Burning. J Cent Nerv Syst Dis. 2018 Apr 18;10:1179573518771703. doi: 10.1177/1179573518771703. PMID: 29706768; PMCID: PMC5912271.

Ballano Ruiz, B. Aldea Manrique, A. Diago Irache, Y. Gilaberte Calzada.  (octubre 2023) “Eritromelalgia primaria: a propósito de un caso”. Actas Dermosifiliográficas. Vol. 114. Núm. 9. Páginas 837-838 DOI: 10.1016/j.ad.2022.05.030 

Heij, Lara & Dahan, Albert & Hoitsma, Elske. (2012). «Sarcoidosis and Pain Caused by Small-Fiber Neuropathy.» Pain research and treatment. 2012. 256024. DOI:10.1155/2012/256024

Nolano, Maria & Tozza, Stefano & Caporaso, Giuseppe & Provitera, Vincenzo. (2020). Contribution of Skin Biopsy in Peripheral Neuropathies. Brain Sciences. 10. 989. DOI:10.3390/brainsci10120989

Kouri M, Adamo D, Vardas E, Georgaki M, Canfora F, Mignogna MD, Nikitakis N. «Small Fiber Neuropathy in Burning Mouth Syndrome: A Systematic Review». Int J Mol Sci. 2024 Oct 24;25(21):11442. doi: 10.3390/ijms252111442. PMID: 39518993; PMCID: PMC11546372.

Goldenberg D. Small Fiber Neuropathy: Clinical Scenarios and Differential Diagnoses. Pract Pain Manag. 2021;21(6).
https://www.medcentral.com/rheumatology/fibromyalgia/small-fiber-neuropathy-clinical-scenarios-differential-diagnoses

Diagnosing and managing painful small fibre neuropathy By Dr Dominic A Hegarty, Consultant in Pain Management and Neuromodulation, Mater Private Hospital, Cork, and Clinical Director, Pain Relief Ireland – 03rd Mar 2021
https://www.medicalindependent.ie/societies/iicn-ina/diagnosing-and-managing-painful-small-fibre-neuropathy/

Pál E, Fülöp K, Tóth P, Deli G, Pfund Z, Janszky J, Komoly S. Small Fiber Neuropathy: Clinicopathological Correlations. Behav Neurol. 2020 Jan 2;2020:8796519. doi: 10.1155/2020/8796519. PMID: 32399084; PMCID: PMC7199601. 

Johnson SA, Shouman K, Shelly S, Sandroni P, Berini SE, Dyck PJB, Hoffman EM, Mandrekar J, Niu Z, Lamb CJ, Low PA, Singer W, Mauermann ML, Mills J, Dubey D, Staff NP, Klein CJ. Small Fiber Neuropathy Incidence, Prevalence, Longitudinal Impairments, and Disability. Neurology. 2021 Nov 30;97(22):e2236-e2247. doi: 10.1212/WNL.0000000000012894. Epub 2021 Oct 27. PMID: 34706972; PMCID: PMC8641968.

Raasing LRM, Vogels OJM, Veltkamp M, van Swol CFP, Grutters JC. Current View of Diagnosing Small Fiber Neuropathy. J Neuromuscul Dis. 2021;8(2):185-207. doi: 10.3233/JND-200490. PMID: 33337383; PMCID: PMC8075405.

Samuelsson K, Kostulas K, Vrethem M, Rolfs A, Press R. Idiopathic small fiber neuropathy: phenotype, etiologies, and the search for fabry disease. J Clin Neurol. 2014 Apr;10(2):108-18. doi: 10.3988/jcn.2014.10.2.108. Epub 2014 Apr 23. PMID: 24829596; PMCID: PMC4017013.

Igharo D, Thiel JC, Rolke R, et al.Skin biopsy reveals generalized small fibre neuropathy inhypermobile Ehlers–Danlos syndromes. Eur J Neurol.2023;30:719-728. doi:10.1111/ene.15649

Autonomic and sensory dysfunction in hypermobile Ehlers-Danlos syndrome: How do small fibers contribute? Kersebaum, Dilara et al. Autonomic Neuroscience: Basic and Clinical, Volume 260, 103306 https://www.autonomicneuroscience.com/article/S1566-0702(25)00068-2/fulltext

Geerts, Margot & Hoeijmakers, Janneke & Gorissen-Brouwers, Carla & Faber, Catharina & Merkies, Ingemar. (2023). Small Fiber Neuropathy: A Clinical and Practical Approach. The Journal for Nurse Practitioners. 19. 104547. DOI:10.1016/j.nurpra.2023.104547

Complex Regional Pain syndrome: a (focal) small fibre neuropathy possibly related to mutations in voltage-gated sodium channels https://onderzoekmetmensen.nl/en/node/37879/pdf

Gemignani F, Bellanova MF, Saccani E, Pavesi G. Non-length-dependent small fiber neuropathy: Not a matter of stockings and gloves. Muscle & Nerve. 2022; 65(1): 10-28. 10.1002/mus.27379

X. Moisset, D. Bouhassira, J. Avez Couturier, H. Alchaar, S. Conradi, M.H. Delmotte, M. Lanteri-Minet, J.P. Lefaucheur, G. Mick, V. Piano, G. Pickering, E. Piquet, C. Regis, E. Salvat, N. Attal, Pharmacological and non-pharmacological treatments for neuropathic pain: Systematic review and French recommendations, Revue Neurologique, Volume 176, Issue 5, 2020, Pages 325-352, ISSN 0035-3787, https://doi.org/10.1016/j.neurol.2020.01.361.

Hovaguimian A, Gibbons CH. Diagnosis and treatment of pain in small-fiber neuropathy. Curr Pain Headache Rep. 2011 Jun;15(3):193-200. doi: 10.1007/s11916-011-0181-7. PMID: 21286866; PMCID: PMC3086960.

Blaibel D, Fernandez CJ, Pappachan JM. Non-pharmacological interventions for diabetic peripheral neuropathy: Are we winning the battle? World J Diabetes. 2024 Apr 15;15(4):579-585. doi: 10.4239/wjd.v15.i4.579. PMID: 38680695; PMCID: PMC11045424.

La neuropatía de fibras finas (NFF) daña las fibras nerviosas pequeñas, provocando dolor urente o punzante, hormigueo y entumecimiento en pies y manos, así como alteraciones autonómicas (sudoración, digestión, presión arterial y frecuencia cardíaca), pudiendo afectar de forma significativa la calidad de vida.

Noticias

Asociación Española de PoTS y otras Disautonomías (AEPOD) es una organización sin ánimo de lucro registrada en España con NIF G67771816. Los logotipos son diseños de Montse Sonsona © registrados, con permiso concedido para utilizarlos a la Asociación Española de PoTS y otras Disautonomías (AEPOD) 2021. Reservados todos los derechos de traducción y reproducción.

El propósito de este sitio web es informar y educar a las familias sobre el síndrome de taquicardia postural y sobre otras disautonomías. La información proporcionada aquí no pretende servir como asesoramiento, diagnóstico o tratamiento médico profesional. Si tiene problemas relacionados con la salud, comuníquese con un profesional de la salud cualificado para obtener la evaluación, el asesoramiento y el tratamiento personalizados que necesita. Asociación Española de PoTS y otras Disautonomías no será responsable de ningún daño directo, indirecto o de otro tipo que surja de este uso de este sitio web.

Suscríbete a nuestro boletín informativo

AEPOD | 2025

Scroll al inicio